治療の手順
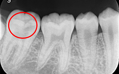
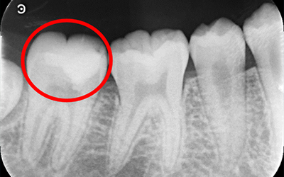
従来は、虫歯除去中に神経が見えてしまった場合は、無菌状態の神経が汚染されたと考えるのが一般的でした。
そのため、患者さん本人の痛みなどの自覚症状が無かった場合でも神経の治療をしなければなりませんでした。
しかし、現在の歯科医療では、すべての場合ではありませんが、神経を取らずに治療することができます。
それが「生活歯髄療法(VPT)」(バイタルパルプセラピー)です。
(保険診療外:60分 27,500円(税込) 別途詰め物等の費用が必要)

マイクロスコープで直接神経の状態を確認することです。

ポルトランドセメントを主成分とする薬で、このセメントを使う事により本来なら神経を取らざる得ない場合でも神経の保存が可能になりました。

| 注意事項 | MTAによる生活歯髄療法の適用と診断したが、すべての症例で歯髄保存が必ずしも成功出来るわけではありません |
|---|
歯を抜歯しなければならない2大原因は、虫歯と歯周病です。
虫歯で抜歯せざる得ない場合に一番多いのが、虫歯が歯茎の中まで入り込んでいるために、再度きちんとした適合の良い被せ物を入れることが出来ないことが挙げられます。

その状態を改善・治療する方法として、
矯正による歯牙の挺出(エクストリュージョン)、歯冠延長術(クラウンレングスニング)があります。
それぞれ単独処置や両方の併用治療の場合もあります。
矯正による歯牙の挺出をエクストリュージョンといい、歯に持続的な力を加えることにより、健全歯質(虫歯に侵されていないところまで)を引っ張り出す方法(部分矯正)です。
| 治療開始から終了まで ※治療回数に関係なし |
55,000円(税込) |
|---|

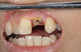
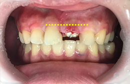
歯茎の線に左右差がないので、外科的に埋まっている根っこ(歯根)を出してしまうと審美的問題が起きてしまいます。



週に1回程度、けん引するゴムを交換していきます。
外科的に被せ物を作るときに必要な健全歯質を作り出すことです。
本来被せ物を入れることが出来ないために抜歯適応だが、抜歯回避のための最後の治療法として行います。
被せ物のために、必要とされる部分の歯を意図的に作り出す治療法になります。
| 60分 | 55,000円(税込) |
|---|

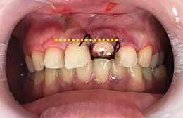
根っこ(歯根)が歯茎の中にあり、このままでは差し歯に出来ない状態です。



歯茎を隣の歯と合わせ審美的な点からも治療し、差し歯に出来るようにしました。
これらの治療法を用いて歯の保存をした場合のその後の治療は、保険の規定によりすべて保険外となりますので、ご理解の程よろしくお願いいたします。
〒270-2213
千葉県松戸市五香8丁目44-6
プラッツ五香2F
047-386-5000
| 月〜土 | 10:00〜18:30(最終受付18:00) |
| 日・祝 | 10:00〜16:00(最終受付15:30) |
| 休診日 | 水曜日 |