予防歯科の流れ
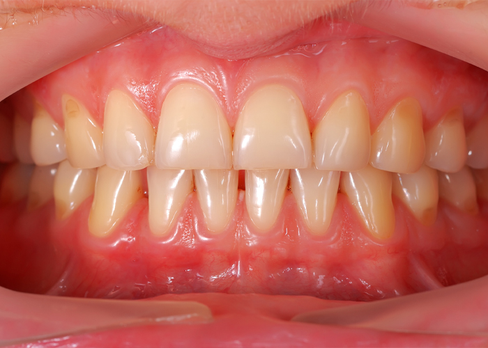
ⅰ)今のお口の中の記録写真⇐比較のため、とっても大切!
ⅱ)歯茎の状態
ⅲ)磨き残しの箇所をチェック
ⅳ)虫歯チェック
※この診査結果に基づいて、患者様に合ったセルフケア方法をご提案させていただきます。
歯科衛生士が、歯石や磨き残しのプラークを除去します。
※歯の表面の着色(コーヒーなど)は虫歯や歯周病の原因ではありません。クリーニングと同時に除去できるものを除き、それ以外の着色除去は保険外の処置となります。
磨き方の癖や歯ブラシの好みは、患者様それぞれ異なります。
そのため、お一人おひとりに合った方法を相談しながらご提案いたします。
※診査結果に基づき、最適なセルフケアの方法をご提案いたします。





