電話

お電話

WEB予約

WEB予約

アクセス

アクセス

WEB予約

WEB予約

Nanoデンタルクリニック

月/火/木/金/土 10:00〜18:30 (最終受付18:00)

日/祝 10:00〜16:00(最終受付15:30)水曜休診

※当日予約可(WEB予約枠が埋まっていてもご対応が可能の場合がございます)

MV

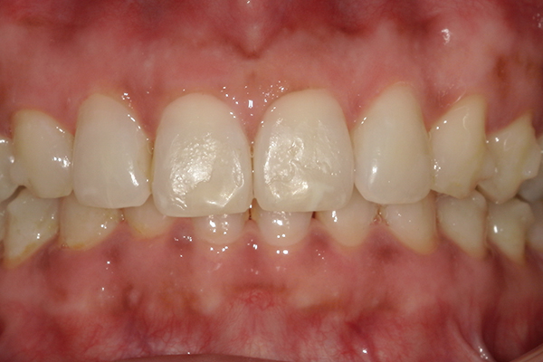
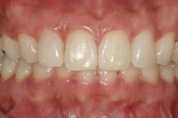
ホワイトニング症例


case1

主訴 歯を白くしたい
治療期間 10日間
治療費 25,300円
治療内容 ホームホワイトニング
(自宅での
ホワイトニング)
治療のリスク 知覚過敏
※税込価格となります

〒270-2213

千葉県松戸市五香8丁目44-6

プラッツ五香2F

047-386-5000

月〜土 10:00〜18:30(最終受付18:00)
日・祝 10:00〜16:00(最終受付15:30)
休診日 水曜日