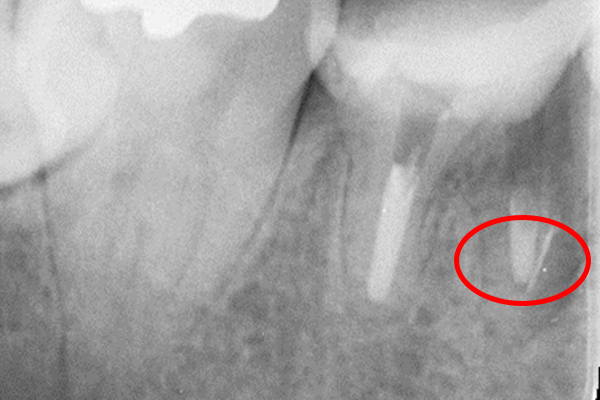
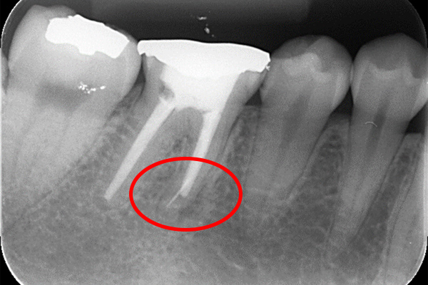
根の横に誤った穴をあけてしまい、気づかずに薬を入れてしまっている。また、器具が破折し、根の先に飛び出ている。
精密根管治療治療終了時歯の側面の穴と根尖はMTAにより緊密に封鎖した。
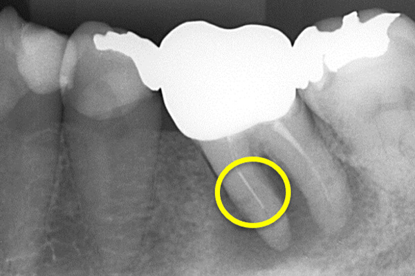
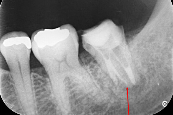
※本来の根管に薬が入ってることがわかります。
| 主訴 | 他院で治療終了と言われたが、違和感がある。痛みは、時々ある程度で、そんなに気にならない。 |
| 治療期間 | 90分×3回 |
| 治療費 | コア除去・隔壁:8,800円 パーフォレーション修復:16,500円 根管内異物除去:24,200円 感染根管治療(大臼歯/CT代別)88,000円 |
| 治療内容 | クラウン・コア除去→感染歯質除去→隔壁→根管内感染物質の除去→ パーフォレーションの修復→本来の根管の洗浄→根管内異物除去→洗浄→MTA根充 |
| 治療のリスク | 抜歯になる可能性/予後を診る必要性があること |
| ※税込価格となります |
| 主訴 | 咬むとたまに痛く、時々違和感がある。しみたりはしない |
| 治療期間 | 90分×1回 |
| 治療費 | CT:11,000円 コア除去:5,500円 歯根破折診断:22,000円 |
| 治療内容 | 保存が出来るかどうかの診断 |
| 治療のリスク | 特になし |
| ※税込価格となります |
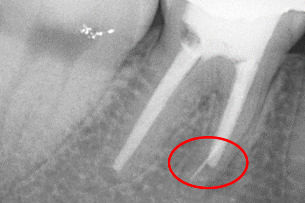
更に、拡大すると歯根破折に加え、器具の破折片も確認できる。
心臓の鼓動のように『ドク・ドク』と浸出液が出ているのが分かる。
| 主訴 | 何もしなくてもズキズキ痛い |
| 治療費 | 感染根管治療(大臼歯):88,000円 |
| 治療内容 | 急性症状改善のための排膿治療 |
| 治療のリスク | 抜歯のリスク |
| ※税込価格となります |
他院にて、抜歯といわれ、セカンドオピニオン目的に来院されました。
①自覚症状なし・歯肉にサイナストラクト(排膿路)あり
②初診時レントゲン解説
・歯根周囲に透過像(黒い影)あり
・遠心根根管充填:アンダー
根管治療そのものは、2回で終了し、水酸化カルシウム貼薬し経過観察(患者様希望のため)
約2か月後、根尖透過像の縮小を確認し根管充填(MTA使用)。
レントゲン解説:4根管すべてに根管充填が密にされていることを確認できる
透過像は消失し、明らかな骨形成を認める。(黒い影の消失)
| CT | 11,000円 |
| コア除去 | 8,800円 |
| 隔壁 | 3,300円 |
| 感染根管治療 | 88,000円 |
| コア築造 | 11,000円 |
| ジルコニアクラウン | 132,000円 |
| ※税込価格となります |
| 主訴 | 他院で治療するもよくならない |
| 治療期間 | 1ヶ月半 |
| 治療費 | 88,000円 |
| 治療内容 | 感染根管治療 |
| 治療のリスク | 抜歯 |
| ※税込価格となります |
| 主訴 | 右下が痛い・違和感がある |
| 治療期間 | 4回 |
| 治療費 | 破折ファイルの除去費:16,500円 |
| 治療内容 | 破折ファイルの除去 |
| 治療のリスク | 抜歯の可能性 |
| ※税込価格となります |
| 主訴 | 歯茎がよく腫れる |
| 治療期間 | 5回 |
| 治療費 | 88,000円 |
| 治療内容 | 感染根管処置 |
| 治療のリスク | 抜歯の可能性 |
| ※税込価格となります |
| 主訴 | 破折器具除去依頼 |
| 治療期間 | 1回 |
| 治療費 | 38,500円 |
| 治療内容 | 破折ファイルの除去 |
| 治療のリスク | 除去できない・パーフォレーション |
| ※税込価格となります |
| 主訴 | 歯が痛い |
| 治療期間 | 治療:3回 経過観察:2か月 |
| 治療費 | CT:11,000円 根管治療:55,000円 |
| 治療内容 | 根管治療 |
| 治療のリスク | 抜歯 |
| ※税込価格となります |
| 主訴 | 他院にて抜歯といわれた |
| 治療期間 | 4ヶ月で3回(うち、3ヶ月間は根尖の治癒の確認期間) |
| 治療費 | CT:11,000円 根管治療:88,000円 MTA:11,000円 |
| 治療内容 | 感染根管治療 |
| 治療のリスク | 抜歯 |
| ※税込価格となります |
| 主訴 | 他院で抜歯といわれた |
| 治療期間 | 治療:1回 経過観察:1か月 根の治療の仕上げ:1回 |
| 治療費 | 55,000円 |
| 治療内容 | 根の消毒 |
| 治療のリスク | 抜歯 |
| ※税込価格となります |
| 主訴 | 他院で割れているかもしれないと言われ、抜歯をすすめられた。 |
| 治療期間 | 治療:3回 経過観察:2か月 |
| 治療費 | CT:11,000円 隔壁:8,800円 根管治療:88,000円 |
| 治療内容 | 根管治療 |
| 治療のリスク | 抜歯 |
| ※税込価格となります |
| 主訴 | しっかり治したい |
| 治療期間 | 3回 |
| 治療費 | CT:11,000円 破折ファイル除去: 49,500円 |
| 治療内容 | 破折ファイル除去 |
| 治療のリスク | 歯根破折・ パーフォレーション |
| ※税込価格となります |
〒270-2213
千葉県松戸市五香8丁目44-6
プラッツ五香2F
047-386-5000
| 月〜土 | 10:00〜18:30(最終受付18:00) |
| 日・祝 | 10:00〜16:00(最終受付15:30) |
| 休診日 | 水曜日 |